ENFERMEDADES DEL ESÓFAGO
Dolor Toráxico o Dolor de Pecho
El dolor torácico o dolor de pecho es un síntoma que alarma a quien lo padece, obedece a dos causas principales enfermedad cardiaca grave o aquel de origen no cardiaco. Por tal motivo los pacientes que presentan dolor torácico deben ser valorados siempre por un cardiólogo que determine, con el estudio apropiado, si existe o no enfermedad cardiaca.
Prestaremos especial atención a los dolores que se producen por causas no cardiacas es un síntoma muy frecuente que presentan del 12 al 25% de la población. El origen más frecuente suele estar en el esófago (50-60%)
Prestaremos especial atención a los dolores que se producen por causas no cardiacas es un síntoma muy frecuente que presentan del 12 al 25% de la población. El origen más frecuente suele estar en el esófago (50-60%)
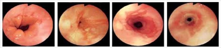
Acalasia

La acalasia es un trastorno muy poco frecuente del esófago que puede presentarse a cualquier edad. Afecta por igual a hombres y mujeres. Se produce por la incapacidad del esófago de contraerse y empujar el alimento hasta el estómago y por la falta de relajación del musculo que se encuentra en la unión del esófago y el estomago. Se origina por alteraciones de las estructuras nerviosas del esófago y su causa exacta no se conoce.
Exámenes utilizados para el diagnostico de la Acalasia Esofágica:
• Rx contrastada del Esófago
• Manometría Esofágica
• Endoscopia Digestiva Alta
TRATAMIENTO DE LA ACALASIA ESOFAGICA:
Medico: Con el uso de medicamentos que relajan la musculatura lisa, se considera paliativo, con muy pocos resultados satisfactorios para el paciente, se ha utilizado también la inyección de toxina botulínica por vía endoscópica
Endoscópico: Resultados excelentes o buenos en el 80% de los pacientes, porcentaje mínimo de complicaciones
Quirúrgico: Consiste en el corte circular de la capa muscular del esófago, puede realizarse por cirugía convencional o laparoscópica
Enfermedad por Reflujo Gastro Esofágico

El reflujo gastroesofágico es algo normal que sucede varias veces al día en personas sanas, cuando este ocasiona síntomas o cualquier complicación es cuando se clasifica como ERGE
Se produce al presentarse una relajación o debilidad excesiva en el músculo que une el esófago y el estomago lo que permitirá el ascenso o paso de alimentos y jugos gástricos hacia el esófago al contraerse el estomago, una parte importante de pacientes con reflujo tienen una hernia al hiato, en estos casos el estomago se desliza hacia el tórax, a través del hiato esofágico
Síntomas mas frecuentes en la ERGE:
• Dolor de estómago
• Dolor en el pecho no quemante (en ocasiones se puede confundir con un infarto)
• Dificultad para tragar o atragantamientos frecuentes
• Dolor al tragar
• Faringitis crónica
• Tos crónica, ronquera y asma
• Regurgitación de alimentos
• Neumonía
• Sinusitis crónica
• Despertarse con sensación de ahogo
Existen signos o síntomas que pueden indicar un problema mas serio y que requieren valoración por un médico:
• Dificultad para tragar
• Vomitar sangre o heces del color del petróleo
• Dolor de pecho
• Pérdida de peso
• Ahogo
El diagnostico de una ERGE esta basado fundamentalmente en los síntomas y signos presentes en el paciente, los resultados obtenidos o respuesta al tratamiento indicado
EXAMENES QUE COMPLEMENTAN EL DIAGNOSTICO CLINICO
ENDOSCOPIA DIGESTIVA ALTA: Permite visualizar los daños provocados a la mucosa esofágica (erosiones, ulceras) determinar la asociación con hernia del hiato, o complicaciones como el Esófago de Barrett
Ph METRIA DEL ESOFAGO: Se considera como el examen de elección para diagnosticar la ERGE, se realiza colocando un catéter muy fino por una de las fosas nasales, esta se detiene unos cms antes de la unión del esófago y el estomago (Esfínter esofágico inferior) la sonda tiene en su punta un dispositivo o chip que registrara todos los episodios de reflujo que se produzcan durante el estudio
MANOMETRIA ESOFAGICA: Consiste en medir las presiones existentes en el interior del esófago, también con una fina sonda introducida por una de las fosas nasales
COMPLICACIONES DE LA ERGE:
ESOFAGITIS: El acido y la pepsina actuando en forma mantenida sobre la mucosa del esófago, va produciendo lesiones o heridas en forma de erosiones hasta verdaderas ulceras en la porción del esófago mas próximo al estomago, se clasifican en erosivas y no erosivas
ESOFAGITIS NO EROSIVA: Se define por la presencia de síntomas (pirosis, acidez, dolor torácico) en ausencia de erosiones en la pared del esófago, lo cual es confirmado por endoscopia, esta variedad es la mas frecuente, alrededor del 70% de los pacientes
En estudios recientes se ha demostrado que el 3-4% de la población padece de una ERGE
ESOFAGITIS EROSIVA: Presencia de síntomas, y daños en la pared del esófago detectados durante una endoscopia, se clasifica en Grados
La clasificación mas utilizada es la de Los Angeles que la clasifica en 4 grados
CLASIFICACIÓN ENDOSCÓPICA DE LA ENFERMEDAD POR REFLUJO GASTROESOFÁGICO EROSIVA
CLASIFICACIÓN DE LOS ÁNGELES
CLASIFICACIÓN DE LOS ÁNGELES

Estenosis
Es otra de las complicaciones frecuentes de la ERGE en ella debido al proceso inflamatorio secundario a la acción mantenida de acido y pepsina se produce un estrechamiento del esófago que se manifestara en el paciente como dificultad y dolor al tragar alimentos
Esófago de Barrett

Considerado como precursor del Cáncer de Esófago, se estima que el 10-20% de los pacientes con reflujo y que se hacen una endoscopia presentan Esófago de Barret, el principal problema esta dado en una sustitución de las células normales del esófago por células intestinales (metaplasia), mas resistentes al acido estas células son las que degeneran en un cáncer (0,5%) cada año
El esófago de barret es mas frecuente en hombres mayores de 55 años que padecen de reflujo mantenido no tratado, de raza blanca y fumadores, no produce síntomas por si mismo si no solo aquellos dependientes del reflujo existente, el diagnostico se establece en pacientes sintomáticos donde al realizar una endoscopia se encuentran cambios en el esófago, la toma de biopsia es imprescindible para dar la certeza al diagnostico
Existen diferentes formas de tratamiento para el Esófago de Barrett
El Esófago de Barrett es una condición adquirida se presenta en hasta 10% de los pacientes con RGE crónico y este se presenta con una frecuencia estimada de entre 20 y 40% de la población
El Esófago de Barrett no provoca síntomas por si mismo, los síntomas dependen mas del Reflujo gastroesofágico o de sus complicaciones, se considera que aproximadamente el 90% de los pacientes con Esófago de Barrett no buscan atención hasta que el proceso se complica, pudiendo comenzar a presentar Disfagia por la estenosis producida o hemorragia digestiva por las ulceraciones
Se ha sugerido que los siguientes pacientes con RGE deben ser sometidos a una endoscopia
• RGE complicado (disfagia, estenosis, ulcera, hemorragia)
• RGE con esofagograma que muestre patrón reticular o seudomembranas; •RGE con sintomatología persistente a pesar del tratamiento;
• RGE asociado a esclerodermia.
Para confirmar el diagnostico se hace necesario la biopsia de esta mucosa esofágica
El grado histológico de displasia es, normalmente, el parámetro más importante usado en el seguimiento de los pacientes con EB; es el marcador preneoplásico por excelencia, y podemos dividirla en
I: Negativo para displasia
II: Indefinido para displasia
III: Positivo para displasia que a su vez se subdivide en displasia leve y displasia severa
IV: Adenocarcinoma
TRATAMIENTO DEL ESOFAGO DE BARRETT
Todos los pacientes con EB deben considerarse de mayor riesgo de malignización, ya que la displasia puede aparecer independientemente de la longitud La esofagitis crónica, debida a la persistencia del RGE, ha sido implicada como causa del desarrollo de displasia y posterior Adenocarcinoma SEGUIMIENTO ENDOSCOPICO-BIOPSICO
En relación al riesgo de malignización y a los factores de riesgo de desarrollar cáncer se proponen tres grupos para su seguimiento
1. Paciente de bajo riesgo: Segmento endoscópico de barrett muy localizado con biopsia negativa, en estos casos es suficiente con un control endoscópico-biópsico cada 5 años, hasta los 70 años de edad en los que se suprime el seguimiento
2. Pacientes de riesgo medio: comprende a los fumadores y bebedores importantes, a los que tienen una extensión de la metaplasia igual o mayor de 5 cm en este grupo, el control endoscópico-biópsico debe ser anual, suprimiéndolo también a los 70 años de edad
3. Pacientes de alto riesgo: son los que tienen displasia en el estudio histológico de las biopsias obtenidas durante la primera exploración o alguno de los marcadores tumorales, distintos de la displasia, positivos. Este grupo se subdivide en dos:
• Pacientes con displasia leve o algunos de los marcadores tumorales positivos; se hará control endoscópico-biópsico cada 6 meses hasta que en dos exploraciones consecutivas no encontremos displasia ni otros marcadores tumorales positivos, con lo cual se pasaría a control anual como en el grupo anterior
• Pacientes con displasia severa Se repite la endoscopía-biopsia in- mediatamente, por la posibilidad de coexistencia de cáncer. Y debe plantearse seriamente el tratamiento quirúrgico u otras opciones terapéuticas si hay contraindicación a la cirugía
Como el EB es una consecuencia final del reflujo y su principal riesgo es el de su posible malignización, el primer objetivo del tratamiento será su profilaxis, es decir, evitar que se produzca tratando adecuadamente la ERGE y; el segundo, una vez establecido el EB, intentar su regresión para que no evolucione hacia malignidad o al menos, tratar de detener su progresión.
La esofagitis por reflujo es el primer eslabón en la progresión de la enfermedad hacia el EB. Esta progresión solo puede evitarse haciendo que el material refluido pierda su agresividad o que no se produzca el reflujo. Lo primero se consigue con tratamiento medico y lo segundo, con medidas quirúrgicas
En resumen podemos afirmar que el tratamiento medico controla los síntomas del EB, que son los del RGE, pero no causa la regresión completa ni tampoco disminuye el riesgo de transformación maligna
Tratamiento quirúrgico
La técnica más empleada es la Fundoplicatura de Nissen; que consiste básicamente en el cierre del hiato esofágico, la colocación de puntos que toman el fondo gástrico anterior, la pared muscular el esófago y el fondo gástrico posterior logrando de esa forma una nueva válvula que proteja al esófago del constante reflujo, aun así se recomienda que los pacientes que sean operados deben mantener una estrecha vigilancia endoscópica porque en las áreas de metaplasia que persisten aun después de la cirugía mantienen el riesgo de malignizacion
Existen nuevas alternativas al tratamiento del Barrett que consisten en la combinación de una destrucción de la mucosa esofágica dañada llamada TERAPIA ABLATIVA ENDOSCOPICA con bloqueadores de la secreción acida a dosis altas y la cirugía anti reflujo
Hernia Hiatal
La hernia de hiato se produce cuando la porción superior del estomago asciende hacia el tórax a través de una pequeña abertura que existe en el diafragma (hiato diafragmático)" El diafragma es el músculo que separa el tórax del abdomen. El hiato diafragmático es parte de la barrera anatómica que separa el esófago del estómago
El diafragma se puede encontrar debilitado por diversas disfunciones fisiológicas, enfermedades o lesiones. A los factores genéticos se pueden añadir las siguientes causas de la hernia de hiato:
• Envejecimiento: A medida que envejecemos, el músculo diafragmático puede volverse algo más débil, posibilitando la protrusión del estómago.
• Tos crónica: debido al esfuerzo constante que supone la acción de toser
• Estreñimiento: las personas propensas a sufrir estreñimiento realizan esfuerzos continuos a la hora de defecar, y esta presión en la cavidad abdominal puede repercutir en el deslizamiento de la parte superior del estómago.
• Obesidad: un aumento del volumen abdominal puede producir presión sobre los órganos del abdomen, el estómago entre ellos, y forzar el paso a través del hiato.
• Levantar objetos muy pesados.
• Estrés.
• Tabaquismo: el consumo de tabaco parece estar asociado a la aparición de la hernia de hiato.

CLASIFICACION DE LA HERNIA HIATAL
• La más común (90%) es la hernia deslizante, en donde la unión
gastroesofágica se mueve por encima del diafragma conjuntamente con una porción del estómago.
• El segundo tipo es la hernia paraesofágica, en la que parte del
estómago se va herniando a través del hiato diafragmático sin que se
presente movimiento de la unión gastroesofágica.
• Un tercer tipo de hernia hiatal se describe como una combinación de
las anteriores
El diagnóstico de una hernia hiatal comienza con el examen físico por razón de la sintomatología. La radiografías de abdomen con contraste y estudios endoscópicos (la video-endoscopia digestiva con observación directa del esófago y estómago) demuestran la hernia hiatal y ayudan a descartar otras causas de molestias digestivas altas.
El tratamiento depende del tipo de hernia hiatal que usted tenga y de sus síntomas. Es posible que no necesite ningún tratamiento o alguno de los siguientes:
• Medicamentos podrían administrase para aliviar los síntomas de la acidez.
Estos medicamentos ayudan a disminuir el ácido estomacal. Es posible que también le den medicamentos que ayudan a hacer más estrecho el esfínter esofágico
• Cirugía podría realizarse cuando los medicamentos no puedan controlar sus
síntomas u otros problemas están presentes. Su médico también podría sugerir la cirugía dependiendo del tipo de hernia que usted tenga. Su médico puede poner su estómago en la posición normal. Él podría hacer el hiato (agujero) más pequeño y atar su estómago a su abdomen. La funduplicatura es una cirugía en donde la parte superior del estómago se enrolla alrededor del esfínter esofágico para reforzarlo.
El diafragma se puede encontrar debilitado por diversas disfunciones fisiológicas, enfermedades o lesiones. A los factores genéticos se pueden añadir las siguientes causas de la hernia de hiato:
• Envejecimiento: A medida que envejecemos, el músculo diafragmático puede volverse algo más débil, posibilitando la protrusión del estómago.
• Tos crónica: debido al esfuerzo constante que supone la acción de toser
• Estreñimiento: las personas propensas a sufrir estreñimiento realizan esfuerzos continuos a la hora de defecar, y esta presión en la cavidad abdominal puede repercutir en el deslizamiento de la parte superior del estómago.
• Obesidad: un aumento del volumen abdominal puede producir presión sobre los órganos del abdomen, el estómago entre ellos, y forzar el paso a través del hiato.
• Levantar objetos muy pesados.
• Estrés.
• Tabaquismo: el consumo de tabaco parece estar asociado a la aparición de la hernia de hiato.

CLASIFICACION DE LA HERNIA HIATAL
• La más común (90%) es la hernia deslizante, en donde la unión
gastroesofágica se mueve por encima del diafragma conjuntamente con una porción del estómago.
• El segundo tipo es la hernia paraesofágica, en la que parte del
estómago se va herniando a través del hiato diafragmático sin que se
presente movimiento de la unión gastroesofágica.
• Un tercer tipo de hernia hiatal se describe como una combinación de
las anteriores
El diagnóstico de una hernia hiatal comienza con el examen físico por razón de la sintomatología. La radiografías de abdomen con contraste y estudios endoscópicos (la video-endoscopia digestiva con observación directa del esófago y estómago) demuestran la hernia hiatal y ayudan a descartar otras causas de molestias digestivas altas.
El tratamiento depende del tipo de hernia hiatal que usted tenga y de sus síntomas. Es posible que no necesite ningún tratamiento o alguno de los siguientes:
• Medicamentos podrían administrase para aliviar los síntomas de la acidez.
Estos medicamentos ayudan a disminuir el ácido estomacal. Es posible que también le den medicamentos que ayudan a hacer más estrecho el esfínter esofágico
• Cirugía podría realizarse cuando los medicamentos no puedan controlar sus
síntomas u otros problemas están presentes. Su médico también podría sugerir la cirugía dependiendo del tipo de hernia que usted tenga. Su médico puede poner su estómago en la posición normal. Él podría hacer el hiato (agujero) más pequeño y atar su estómago a su abdomen. La funduplicatura es una cirugía en donde la parte superior del estómago se enrolla alrededor del esfínter esofágico para reforzarlo.
Cancer de Esófago
El cáncer de esófago (también conocido como cáncer esofágico) se origina en la capa más interna (la mucosa) y crece hacia fuera (a través de la submucosa y la capa muscular). Debido a que dos tipos de células pueden cubrir el esófago, existen dos tipos principales de cáncer de esófago:
• CARCINOMA DE CELULAS ESCAMOSAS
• ADENOCARCINOMA: Este tipo de cáncer ocurre generalmente en la parte distal (tercio inferior) del esófago. Antes de que se pueda desarrollar un adenocarcinoma, las células glandulares tienen que reemplazar un área de las células escamosas, como en el caso del esófago de Barrett. Esto ocurre principalmente en la parte inferior del esófago, donde se origina la mayoría de los adenocarcinomas.
FACTORES DE RIESGO:
• EDAD: La probabilidad de padecer cáncer de esófago aumenta con la edad. Menos del 15% de los casos se encontraron en personas menores de 55 años
• GENERO: Los hombres son más propensos a padecer cáncer de esófago que las mujeres.
• ENFERMEDAD POR REFLUJO GASTROESOFAGICO: Las personas con reflujo tienen un riesgo ligeramente mayor de padecer adenocarcinoma del esófago. Este riesgo parece ser mayor en personas que tienen síntomas más frecuentes. No obstante, el reflujo es muy común, y la mayoría de las personas que lo padecen no desarrolla cáncer de esófago. El reflujo también puede causar esófago de Barrett
• ESOFAGO DE BARRETT: Las personas con esófago de Barrett tienen un riesgo mucho mayor de padecer adenocarcinoma de esófago que las personas sin esta afección. Aun así, la mayoría de las personas con esófago de Barrett no padecen cáncer de esófago. La displasia de alto grado se asocia al mayor riesgo de cáncer
• TABACO: Una persona que fuma diariamente una cajetilla de cigarrillos o más tiene al menos dos veces la probabilidad de padecer adenocarcinoma de esófago en comparación con una persona que no fuma, y el riesgo no desaparece si se deja el hábito. El alcoholismo también se considera un importante factor de riesgo para el cáncer de esófago
• OBESIDAD: Fundamentalmente por el reflujo gastroesofágico que es frecuente en pacientes obesos
• ALIMENTACION: El consumo frecuente de carnes procesadas predispone al cáncer de esófago, asi también el consumo de bebidas muy calientes
DETECCION TEMPRANA DEL CANCER DE ESOFAGO:
Hasta el momento ninguna prueba de detección ha demostrado reducir el riesgo de morir a causa del cáncer de esófago en las personas que tienen un riesgo promedio. Sin embargo, a las personas que tienen un alto riesgo de cáncer de esofago, como aquellas con esófago de Barrett, a menudo se les brinda un seguimiento minucioso para identificar cánceres en etapa temprana y precánceres. La mayoría de los expertos en el tema recomiendan que aquellos pacientes con Esofago de Barrett se hagan regularmente una endoscopia alta, sobre todo en aquellos que tiene displasia en estudios biopsicos ya realizados incluso con mayor frecuencia si la displasia encontrada es de alto grado Si el área de esófago de Barrett es grande, existe displasia de alto grado, o ambos, se podría recomendar el tratamiento del área anormal debido al alto riesgo de que un adenocarcinoma ya esté presente (pero no fue encontrado) o que se origine dentro de pocos años
TRATAMIENTOS DEL CANCER DE ESOFAGO
• CIRUGIA
• RADIOTERAPIA
• TRATAMIENTOS ENDOSCOPICOS PARA EL CANCER DE ESOFAGO:
1. Reseccion endoscópica de la mucosa esofágica
2. Terapia fotodinámica
3. Ablacion por radiofrecuencia
• TERAPIAS SISTEMICAS
1. Quimioterapia
2. Inmunoterapia
3. Terapia dirigida
• CARCINOMA DE CELULAS ESCAMOSAS
• ADENOCARCINOMA: Este tipo de cáncer ocurre generalmente en la parte distal (tercio inferior) del esófago. Antes de que se pueda desarrollar un adenocarcinoma, las células glandulares tienen que reemplazar un área de las células escamosas, como en el caso del esófago de Barrett. Esto ocurre principalmente en la parte inferior del esófago, donde se origina la mayoría de los adenocarcinomas.
FACTORES DE RIESGO:
• EDAD: La probabilidad de padecer cáncer de esófago aumenta con la edad. Menos del 15% de los casos se encontraron en personas menores de 55 años
• GENERO: Los hombres son más propensos a padecer cáncer de esófago que las mujeres.
• ENFERMEDAD POR REFLUJO GASTROESOFAGICO: Las personas con reflujo tienen un riesgo ligeramente mayor de padecer adenocarcinoma del esófago. Este riesgo parece ser mayor en personas que tienen síntomas más frecuentes. No obstante, el reflujo es muy común, y la mayoría de las personas que lo padecen no desarrolla cáncer de esófago. El reflujo también puede causar esófago de Barrett
• ESOFAGO DE BARRETT: Las personas con esófago de Barrett tienen un riesgo mucho mayor de padecer adenocarcinoma de esófago que las personas sin esta afección. Aun así, la mayoría de las personas con esófago de Barrett no padecen cáncer de esófago. La displasia de alto grado se asocia al mayor riesgo de cáncer
• TABACO: Una persona que fuma diariamente una cajetilla de cigarrillos o más tiene al menos dos veces la probabilidad de padecer adenocarcinoma de esófago en comparación con una persona que no fuma, y el riesgo no desaparece si se deja el hábito. El alcoholismo también se considera un importante factor de riesgo para el cáncer de esófago
• OBESIDAD: Fundamentalmente por el reflujo gastroesofágico que es frecuente en pacientes obesos
• ALIMENTACION: El consumo frecuente de carnes procesadas predispone al cáncer de esófago, asi también el consumo de bebidas muy calientes
DETECCION TEMPRANA DEL CANCER DE ESOFAGO:
Hasta el momento ninguna prueba de detección ha demostrado reducir el riesgo de morir a causa del cáncer de esófago en las personas que tienen un riesgo promedio. Sin embargo, a las personas que tienen un alto riesgo de cáncer de esofago, como aquellas con esófago de Barrett, a menudo se les brinda un seguimiento minucioso para identificar cánceres en etapa temprana y precánceres. La mayoría de los expertos en el tema recomiendan que aquellos pacientes con Esofago de Barrett se hagan regularmente una endoscopia alta, sobre todo en aquellos que tiene displasia en estudios biopsicos ya realizados incluso con mayor frecuencia si la displasia encontrada es de alto grado Si el área de esófago de Barrett es grande, existe displasia de alto grado, o ambos, se podría recomendar el tratamiento del área anormal debido al alto riesgo de que un adenocarcinoma ya esté presente (pero no fue encontrado) o que se origine dentro de pocos años
TRATAMIENTOS DEL CANCER DE ESOFAGO
• CIRUGIA
• RADIOTERAPIA
• TRATAMIENTOS ENDOSCOPICOS PARA EL CANCER DE ESOFAGO:
1. Reseccion endoscópica de la mucosa esofágica
2. Terapia fotodinámica
3. Ablacion por radiofrecuencia
• TERAPIAS SISTEMICAS
1. Quimioterapia
2. Inmunoterapia
3. Terapia dirigida


